Urine hematuria medicalnewstoday hepatitis urinary terkucil uti orami infection complications berdarah kencing urination stis jejas rutin treatment wipe tract peed
Table of Contents
Table of Contents
Black stool can indicate serious health problems, including Black Stool After Ercp, which can be a sign of a severe medical issue. It is essential to understand the possible causes of black stool after ERCP and when to seek medical attention.
Pain Points Related to Black Stool After Ercp
Black Stool After Ercp can be a source of worry, apprehension, and confusion for many individuals. There are numerous causes of black stool, which can make it difficult to pinpoint the exact reason for the discoloration.
What is Black Stool After Ercp?
ERCP, short for endoscopic retrograde cholangiopancreatography, is a medical procedure used to diagnose and treat disorders of the liver, bile ducts, and pancreas. Black stool after ERCP is an indication of bleeding in the digestive system, likely caused by procedures such as ERCP.
Summary of Black Stool After Ercp
Black stool after ERCP is a sign of bleeding in the digestive system, which could indicate a severe issue. While there are numerous causes of black stool, it is vital to seek medical attention if the discoloration persists.
Black Stool After Ercp in My Experience
As a registered nurse, I have witnessed patients experiencing a myriad of health conditions, including black stool after ERCP. One particular patient’s case stands out to me as she experienced persistent black stool after ERCP, leading to a diagnosis of pancreatic cancer. The black stool was a sign of internal bleeding caused by the surgical procedure, indicating a severe issue.
What Causes Black Stool After Ercp?
Black stool after ERCP can be caused by a range of medical issues. Some possible causes can include:
- Internal or external injury to the digestive tract
- Gastric ulcers
- Esophageal varices (swollen veins in the esophagus)
- Inflammatory bowel disease
- Blood clotting disorders
Signs and Symptoms of Black Stool After Ercp
The primary symptom of black stool after ERCP is obvious discoloration in stool. Other common symptoms can include:
- Dizziness or lightheadedness
- Fainting or passing out
- Shortness of breath
- Chest pain
Is Black Stool After Ercp Life-Threatening?
Sometimes, black stool after ERCP can be life-threatening. This can occur if the bleeding is from a severe injury or medical condition such as cancer. In most cases, however, the discoloration is caused by minor bleeding and can be quickly treated by a medical professional.
Question and Answer about Black Stool After Ercp
Q:
What should I do if I experience black stool after ERCP?
A:
If you experience black stool after ERCP, seek medical attention immediately. Black stool indicates the bleeding of the digestive system, which could result in severe health issues.
Q:
Is black stool after ERCP always life-threatening?
A:
No, black stool after ERCP is not always life-threatening. Seek medical treatment immediately to determine the cause of black stool.
Q:
How is the cause of my black stool after ERCP determined?
A:
Medical professionals diagnose the cause of black stool after ERCP through a range of tests, including blood tests and diagnostic imaging such as an endoscopy or colonoscopy.
Q:
Can I prevent black stool after ERCP?
A:
Prevention of black stool after ERCP can be challenging. Following the prescribed after-care instructions and informing your medical professional of any unusual symptoms can help minimize risks.
Conclusion of Black Stool After Ercp
Black Stool After Ercp can be a sign of severe medical issues including, but not limited to cancer. It is crucial to seek medical attention as soon as possible to diagnose and treat the underlying cause. It is essential to report any unusual symptoms to a medical professional and follow after-care instructions to help minimize risks of these complications.
Gallery
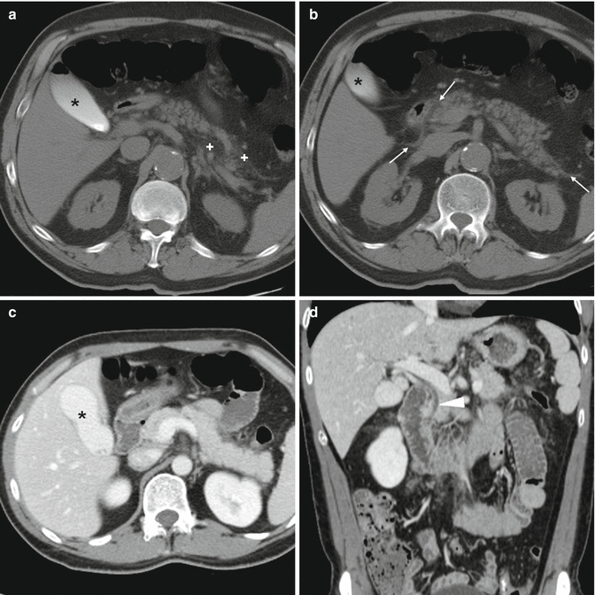
Black Stool After Ercp - Stools Item

Photo Credit by: bing.com / after ercp stool findings endoscopic complications imaging retrograde
Black Tarry Stools Pictures - Stools Item
Photo Credit by: bing.com / tarry
Black Bits In Stool - Stools Item

Photo Credit by: bing.com / stool poop quinoa bits ate digest seem didn
Black Tarry Stool Causes - Stools Item

Photo Credit by: bing.com / stool causes poop findatopdoc tarry healthy different blood food stools green colors could mean poisoning signs cause adults iron foods
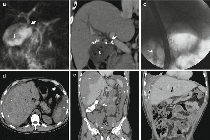
Black Stool After Ercp - Stools Item

Photo Credit by: bing.com / ercp after stool findings imaging retrograde endoscopic complications
Complications Of Hepatitis C: Symptoms And When To See A Doctor

Photo Credit by: bing.com / urine hematuria medicalnewstoday hepatitis urinary terkucil uti orami infection complications berdarah kencing urination stis jejas rutin treatment wipe tract peed
Baby Stool Black - Stools Item

Photo Credit by: bing.com /
Black Stool After Ercp - Stools Item

Photo Credit by: bing.com / after ercp stool complications imaging endoscopic findings retrograde
What Causes Black Or Tarry Stool?

Photo Credit by: bing.com /
Gastrointestinal | Anesthesia Key

Photo Credit by: bing.com / stool tarry rectal digital gastrointestinal examination roberts md copyright seen james figure




